More than just before and after photos! View our patient cases to learn more about our approach to improving oral health.

PATIENT CASE

KATHY

Kathy is a healthy and active retired teacher who came to us as a new patient with the chief concern that she “did not like the color of her teeth.” This is a common concern for patients, but we always want to ask specifics on what about her teeth she wanted to improve.
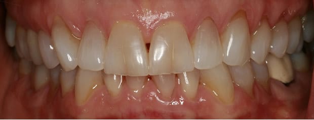
After some thought, she “was concerned with the cracks on the upper front 2 teeth, the ‘black triangle’ between the 2 front teeth and wear that shortened the height of these teeth.” The red arrows point out some of these concerns. Kathy has tetracycline staining in her teeth. Tetracycline is an antibiotic that causes discoloration and greying of the teeth. The tetracycline bonds deep within the teeth and is one of the most difficult causes of dark teeth to treat.
Kathy initially inquired about placing veneers on the upper “social six” anterior teeth. These are the teeth that most often show when a person smiles. However, our process first starts with an accurate diagnosis of all the possible concerns and the potential solutions to fix those problems. The patient can then decide which treatment provides them with the best outcome.

THE PROBLEMS

First, Kathy has a beautiful, wide smile. She shows more than the “social six” when she talks and smiles. This is not a problem at all, but we do need to account for the fact that she shows a lot of her teeth when she smiles and talks.

Second, Kathy also has some recession on her upper teeth with exposed root surfaces. These root surfaces are not sensitive and do not bother her, but would certainly affect the overall result should we decide to place veneers on these teeth as the gum line has changed throughout her mouth. Third, while Kathy has a very nice smile with teeth that are generally shaped well and in good position, she does not like the shape and wear on her upper two front teeth.

Potential Solutions

  1. We first discussed veneers, as this would take care of the black triangle between her front teeth, change the color of the teeth, and deal with the wear and cracking. Also, the root surfaces would be covered up. An advantage of this plan is that we can do this relatively quickly and the white color will last for a long time. The disadvantages are that I believe we would need to do much more than 6 front teeth to get a uniform matching smile. Also, Kathy did not like the idea of cutting down perfectly good teeth in order to change the color.
  2. A second option was to use KOR Ultra-T whitening to whiten the teeth, followed by gingival grafting to cover the root surfaces. Veneers would then be placed on the upper front 2 teeth to fill in the black triangle, give length to the teeth and cover the visible cracks. This treatment plan is conservative in that teeth do not need to be cut down and less expensive than veneers. Also, all teeth will have a uniform color throughout the mouth. The main disadvantage is time. KOR whitening is the best material I have found for tetracycline stains, but it takes several months to do it right. Sensitivity can also be a problem, but I have found the KOR desensitizer to be helpful for many patients.
  3. The most conservative option would be KOR Ultra-T whitening followed by composite fillings to fill in the black triangle and the cracks. Composite often requires replacement more frequently than veneers but is conservative and esthetic.

OUR SOLUTION

Kathy decided on option 2. We started with custom bleach trays and the KOR Ultra-T system. After 4 weeks we started to see considerable improvement.

At this point, Kathy felt her gingival recession was not as much of a concern to her. So she decided against gingival grafting. The gingiva is healthy, so we supported this decision. Although the crack lines in the front teeth were less noticeable, she still wanted to fix these. We therefore decided on 2 veneers on the front teeth.

CONCLUSION

There are many things we could have done for Kathy to improve her function and aesthetics. The really important part for our office is a thorough diagnosis of what the patient really wants to improve. Some patients have functional issues, such as tooth pain, jaw pain and headaches. Others have one small thing that has bothered them for years. Getting the diagnosis right really helps the dentist and patient make a decision that is ideal for their particular situation.

We love our patients

Read what they have to say about us: