It is very important to realize that most of our treatment options are patient compliance-based and may involve referrals to other practitioner concurrently with our recommended dental treatments. Some examples are referrals to myofunctional therapists, cranial osteopaths, functional medicine practitioner, naturopaths, physical therapists, craniosacral therapists, or Ear, Nose and Throat physicians. The goal is to remove barriers that prevent natural growth and development. We also utilize removable appliances in many cases. If the appliances are not worn correctly for the prescribed amount of time the treatment results will be compromised.
If you do not think your child can or will be compliant with these recommendations, our office may not be the right place to seek treatment. We are always happy to recommend orthodontic specialists who utilize other (fixed appliance) techniques for these cases. We want the best result for each patient based on their unique situation.
TREATMENT OPTIONS
Our doctors will determine which of the treatment options below, if any, are the best for each child. As each case is different, the plan will be determined based on patient presentation and need.
TONGUE HABIT CORRECTION
Habit correction only with a habit trainer system such as Myobrace, Vivos Guides, or Healthy Start. This usually involves the use of 1-2 appliances and 6-9 months of treatment. This treatment is best utilized using a myofunctional therapist to aid in exercises to correct tongue posture, but many kids will achieve improved tongue posture with the appliance alone. Treatment involves getting records, selecting the correct appliances, and monitoring usage for 3-6 months. Treatment modifications and referrals may be necessary to achieve success with the habit correction.
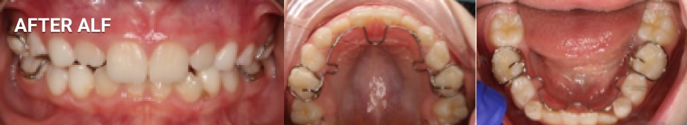
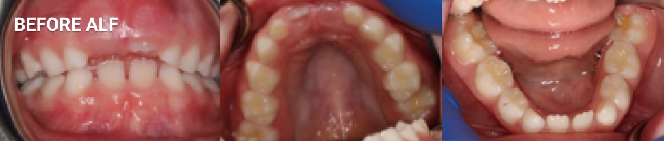
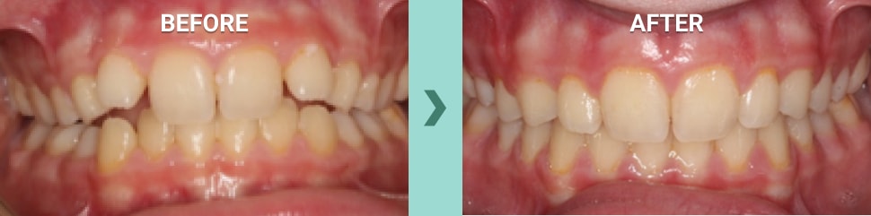
Below is a case successfully treated by Dr. Dan Bruce only using the Myobrace system. This case involved an anterior tongue thrust. The case took 1 year to treat, and we were able to use the habit corrector only due to the lack of considerable crowding, excess overbite, excess underbite or crossbites.